m0_68412810 2024-09-29 23:20 采纳率: 0%
浏览 11

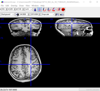
mricron可视化头部MR结构像(GE机器扫描),图像变形严重

mricron可视化头部MR结构像(GE机器扫描),图像变形严重,请问是为什么呢?谢谢~

img

  • 写回答

1条回答 默认 最新

  • 一轮明月照丘壑 2024-09-29 23:21
    关注

    以下回复参考:皆我百晓生券券喵儿等免费微信小程序作答:

    在使用 mricron 可视化头部MR结构像时遇到图像变形严重的问题,可能是由以下几个原因导致的:

    1. 扫描设备问题:MR扫描设备(如GE机器)在扫描过程中可能会出现一些技术故障或参数设置不当的情况,导致图像变形。这可能是硬件问题或操作不当造成的。
    2. 图像重建和处理问题:MR图像需要经过重建和处理后才能进行可视化。如果在这个过程中出现了错误或参数设置不当,也可能导致图像变形。
    3. 可视化软件问题:mricron软件在处理图像时,如果软件本身存在缺陷或与扫描设备兼容性问题,也可能导致图像变形。

    针对您提供的信息(图1和图2),很难确定具体的原因。但可以试着采取以下步骤来解决问题:

    1. 检查扫描设备:确认扫描设备是否正常工作,检查是否有硬件故障或操作不当的问题。
    2. 核对图像重建和处理过程:确认图像在重建和处理过程中是否按照正确的参数和方法进行操作。
    3. 更新软件:检查mricron软件是否为最新版本,如果不是,尝试更新到最新版本,并查看是否解决了兼容性问题。
    4. 咨询专家:如果以上步骤无法解决问题,建议咨询MR扫描和可视化方面的专家,他们可以根据具体情况提供更具体的建议和解决方案。

    请注意,处理医学图像和相关问题时需要谨慎,如果不确定如何操作,请咨询专业人士以避免造成不必要的损失或风险。

    评论

报告相同问题?

问题事件

  • 创建了问题 9月29日